您的位置:首页 > 产品中心 > Anti-Tau phospho Threonine 231 Antibody
产品中心
Anti-Tau phospho Threonine 231 Antibody

基本信息
| eCl@ss | 32160702 |
| NACRES | NA.41 |
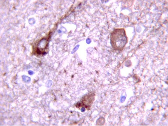
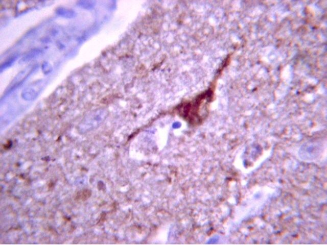
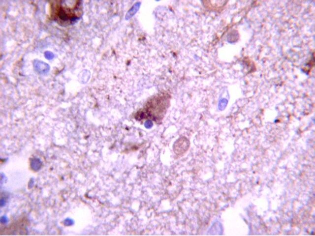
| General description【一般描述】 | Tau is a neuronal microtubule-associated protein found predominantly on axons and functions to promote tubulin polymerization and stabilize microtubules. Tau, in its hyperphosphorylated form, is the major component of paired helical filaments (PHF), the building block of neurofibrillary lesions in Alzheimer′s disease (AD) brain. Hyperphosphorylated Tau is also found in neurofibrillary lesions in a range of other central nervous system disorders. Hyperphosphorylation impairs the microtubule binding function of Tau, resulting in the destabilization of microtubules in AD brains, ultimately leading to the degeneration of the affected neurons. Numerous serine/threonine kinases, including GSK-3beta, protein kinase A (PKA), cyclin-dependent kinase 5 (cdk5) and casein kinase II (CK2), phosphorylate Tau. Threonine 231 is phosphorylated by GSK-3beta, cdk5 and cdk1 and has been shown to be involved in the pre-tangle process of AD. |
| Specificity【特异性】 | Tau phosphoThreonine 231. The antibody recognizes Tau pThreonine 231 in samples of recombinant human Tau treated with GSK-3beta for 45 minutes. The reactivity of the antibody is blocked with the pThreonine 231 peptide but not the non-phosphopeptide or a generic phosphoThreonine-containing peptide. |
| Immunogen【免疫原】 | Synthetic peptide of amino acids surrounding the phosphoThreonine 231 site of human Tau. |
| Application【应用】 | Research Category Neuroscience Western blot: 1:1,000. Suggested blocking buffer is 5% BSA-TBST for one hour at room temperature. Suggested antibody dilution buffer is 1% BSA-TBST. Suggested antibody incubation time is 2 hours at room temperature.. Optimal working dilutions must be determined by the end user. Anti-Tau phospho Threonine 231 Antibody detects level of Tau phospho Threonine 231 & has been published & validated for use in WB. Research Sub Category Neurodegenerative Diseases |
| Physical form【外形】 | Affinity purified immunoglobulin. Liquid in Dulbecco′s PBS (without Mg2+ and Ca2+), pH 7.3, 50% glycerol with 1.0 mg/mL BSA and 0.05% sodium azide. |
| Legal Information【法律信息】 | CHEMICON is a registered trademark of Merck KGaA, Darmstadt, Germany |
产品性质
| biological source【生物来源】 | rabbit |
| Quality Level【质量水平】 | 100 |
| antibody form【抗体形式】 | affinity purified immunoglobulin |
| antibody product type | primary antibodies |
| clone【克隆】 | polyclonal |
| purified by【纯化方式】 | affinity chromatography |
| species reactivity | human |
| manufacturer/tradename | Chemicon® |
| technique(s) | western blot: suitable |
| NCBI accession no.【NCBI登记号】 | NM_005910.3 NM_016834.2 NM_016835.2 NM_016841.2 |
| UniProt accession no.【UniProt登记号】 | P10636 |
| shipped in【运输】 | dry ice |
产品说明
| Storage and Stability【储存及稳定性】 | Maintain at -20°C in undiluted for up to 6 months after date of receipt. Avoid repeated freeze/thaw cycles. Do not store in a self defrosting freezer. |
| Disclaimer【免责声明】 | Unless otherwise stated in our catalog or other company documentation accompanying the product(s), our products are intended for research use only and are not to be used for any other purpose, which includes but is not limited to, unauthorized commercial uses, in vitro diagnostic uses, ex vivo or in vivo therapeutic uses or any type of consumption or application to humans or animals. |
安全信息
| Storage Class Code【储存分类代码】 | 10 - Combustible liquids |
| WGK | WGK 2 |







