您的位置:首页 > 产品中心 > Anti-Podoplanin Antibody, clone PMab-2
产品中心
Anti-Podoplanin Antibody, clone PMab-2

产品别名
Anti-Podoplanin Antibody, clone PMab-2
E11 antigen epitope, Glycoprotein 38, Gp38, OTS-8, RTI140, T1-alpha, T1A, Type I cell 40 kDa protein
基本信息
| eCl@ss | 32160702 |
| General description【一般描述】 | Podoplanin (UniProt: Q64294; also known as E11 antigen epitope, Glycoprotein 38, Gp38, OTS-8, RTI140, T1-alpha, T1A, Type I cell 40 kDa protein) is encoded by the Pdpn (also known as Gp38, Ots8) gene (Gene ID: 54320) in rat. Podoplanin serves as the endogenous ligand of C-type lectin-like receptor-2 (CLEC-2) and is highly expressed in various tumors and in some normal cells. It may be involved in cell migration and/or actin cytoskeleton organization. Podoplanin is localized to actin-rich microvilli and plasma membrane projections, such as filopodia, lamellipodia, and ruffles. It is synthesized with a signal peptide of 22 amino acids, which is cleaved to produce the mature form. Podoplanin contains an extracellular domain (aa 23-135), a helical domain (aa 136-156) and a cytoplasmic region (aa 157-166). Podoplanin is extensively O-glycosylated and contains sialic acid residues. O-glycosylation is believed to be essential for its platelet aggregation activity. Clone PMab2 exhibits high affinity for podoplanin (Kd = 0.59 nM). (Ref.: Oki, H et al. (2015). Monoclon. Antib. Immunodiagn. Immunother. 34(6); 396-403). |
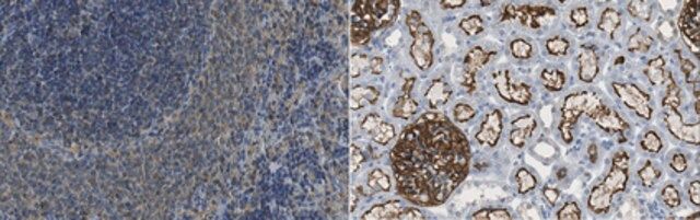
| Specificity【特异性】 | Clone PMab-2 detects podoplanin in rat spleen and kidney. It targets an epitope within 14 amino acids from the N-terminal region. |
| Immunogen【免疫原】 | KLH-conjugated linear peptide corresponding to 14 amino acids from the N-terminal region of rat Podopalnin. |
| Application【应用】 | Anti-Podoplanin, clone PMab-2, Cat. No. MABT850, is a mouse monoclonal that detects rat podoplanin and has been tested for use in ELISA, Flow Cytometry, Immunohistochemistry (Paraffin), and Western Blotting. Immunohistochemistry Analysis: A 1:50 dilution from a representative lot detected Podoplanin in rat spleen tissue. Flow Cytometry Analysis: A representative lot detected Podoplanin in Flow Cytometry applications (Oki, H., et. al. (2015). Monoclon Antib Immunodiagn Immunother. 34(6):396-403). Western Blotting Analysis: A representative lot detected Podoplanin in Western Blotting applications (Oki, H., et. al. (2015). Monoclon Antib Immunodiagn Immunother. 34(6):396-403). Immunohistochemistry Analysis: A representative lot detected Podoplanin in Immunohistochemistry applications (Oki, H., et. al. (2015). Monoclon Antib Immunodiagn Immunother. 34(6):396-403). ELISA Analysis: A representative lot detected Podoplanin in ELISA applications (Oki, H., et. al. (2015). Monoclon Antib Immunodiagn Immunother. 34(6):396-403). |
| Quality【质量】 | Evaluated by Immunohistochemistry in rat kidney tissue sections. Immunohistochemistry Analysis: A 1:250 dilution of this antibody detected Podoplanin in rat kidney tissue sections. |
| Physical form【外形】 | Protein G purified Format: Purified |
| Other Notes【其他说明】 | Concentration: Please refer to lot specific datasheet. |
产品性质
| Quality Level【质量水平】 | 100 |
| biological source【生物来源】 | mouse |
| antibody form【抗体形式】 | purified immunoglobulin |
| antibody product type | primary antibodies |
| clone【克隆】 | PMab-2, monoclonal |
| species reactivity | rat |
| packaging【包装】 | antibody small pack of 25 μg |
| technique(s) | ELISA: suitable flow cytometry: suitable immunohistochemistry: suitable (paraffin) western blot: suitable |
| isotype【同位素/亚型】 | IgG1κ |
| UniProt accession no.【UniProt登记号】 | Q64294 |
产品说明
| Target description【目标描述】 | 17.58 kDa calculated. |
| 【免责声明】 | Unless otherwise stated in our catalog or other company documentation accompanying the product(s), our products are intended for research use only and are not to be used for any other purpose, which includes but is not limited to, unauthorized commercial uses, in vitro diagnostic uses, ex vivo or in vivo therapeutic uses or any type of consumption or application to humans or animals. |
安全信息
| Storage Class Code【储存分类代码】 | 12 - Non Combustible Liquids |
| WGK | WGK 1 |




