您的位置:首页 > 产品中心 > Anti-GM130 Antibody, clone 4A3
产品中心
Anti-GM130 Antibody, clone 4A3

产品别名
Anti-GM130 Antibody, clone 4A3
Golgin subfamily A member 2, 130 kDa cis-Golgi matrix protein
基本信息
| eCl@ss | 32160702 |
| NACRES | NA.41 |
| General description【一般描述】 | Golgin subfamily A member 2 (UniProt: Q62839; also known as 130 kDa cis-Golgi matrix protein, GM130) is encoded by the Golga2 gene (Gene ID: 64528) in rat. GM130 is a peripheral membrane component of the cis-Golgi stack that acts as a membrane skeleton to maintain the structure of the Golgi apparatus, and as a vesicle tether that facilitates vesicle fusion to the Golgi membrane. GM130 is a homotetramer with a flexible rod-like structure. It has a nuclear localization sequence (aa 26-49) that mediates interaction with importin-alpha and recruits it to the Golgi membrane and liberates TPX2. GM130 promotes the mitotic spindle pole assembly by activating TPX2 to nucleate microtubules around the Golgi and capture them to couple mitotic membranes to the spindle. Phosphorylation of GM130 at Ser37 by CDK1 at the onset of mitosis inhibits its interaction with p115/USO1, which prevents its tethering of COPI vesicles and thereby inhibits transport through the Golgi apparatus during mitosis. |
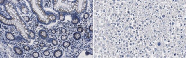
| Specificity【特异性】 | Clone 4A3 detected Golgin subfamily A member 2 (GM130) in human liver cancer and human intestine sections. |
| Immunogen【免疫原】 | A full length recombinant human Golgin subfamily A member 2 (GM130). |
| Application【应用】 | Research Category Cell Structure Immunohistochemistry Analysis: A 1:50 dilution of this antibody detected GM130 in human liver cancer tissue. Western Blotting Analysis: A representative lot detected GM130 in Western Blotting applications (Diao, A., et. al. (2003) J Cell Biol. 160(2):201-12). Immunocytochemistry Analysis: A representative lot detected GM130 in Immunocytochemistry applications (Seemann, J., et. al. (2002). Science. 295(5556):848-51; Diao, A., et. al. (2003) J Cell Biol. 160(2):201-12). Immunohistochemistry Analysis: A representative lot detected GM130 in Immunohistochemistry applications (Seemann, J., et. al. (2002). Science. 295(5556):848-51). Immunoprecipitation Analysis: A representative lot detected GM130 in Immunoprecipitation applications (Diao, A., et. al. (2003) J Cell Biol. 160(2):201-12; Diao, A., et. al. (2008) J Cell Biol. 283(11):6957-67). Anti-GM130, clone 4A3, Cat. No. MABT1363, is a mouse monoclonal antibody that detects Golgin subfamily A member 2. (GM130) and is tested for use in Immunocytochemistry, Immunohistochemistry (Paraffin), Immunoprecipitation, and Western Blotting. |
| Quality【质量】 | Evaluated by Immunohistochemistry in human small intestine tissue. Immunohistochemistry Analysis: A 1:50 dilution of this antibody detected GM130 in human small intestine tissue sections. |
| Physical form【外形】 | Protein G purified Purified mouse monoclonal antibody IgG2b in buffer containing 0.1 M Tris-Glycine (pH 7.4), 150 mM NaCl with 0.05% sodium azide. Format: Purified |
| Other Notes【其他说明】 | Concentration: Please refer to lot specific datasheet. |
产品性质
| Quality Level【质量水平】 | 100 |
| biological source【生物来源】 | mouse |
| antibody form【抗体形式】 | purified immunoglobulin |
| antibody product type | primary antibodies |
| clone【克隆】 | 4A3, monoclonal |
| species reactivity | rat, human |
| packaging【包装】 | antibody small pack of 25 μL |
| technique(s) | immunocytochemistry: suitable immunohistochemistry: suitable (paraffin) immunoprecipitation (IP): suitable western blot: suitable |
| isotype【同位素/亚型】 | IgG2bκ |
| NCBI accession no.【NCBI登记号】 | NP_072118.2 |
| UniProt accession no.【UniProt登记号】 | Q62839 |
产品说明
| Target description【目标描述】 | 112.87 kDa calculated. |
| Storage and Stability【储存及稳定性】 | Stable for 1 year at 2-8°C from date of receipt. |
| Disclaimer【免责声明】 | Unless otherwise stated in our catalog or other company documentation accompanying the product(s), our products are intended for research use only and are not to be used for any other purpose, which includes but is not limited to, unauthorized commercial uses, in vitro diagnostic uses, ex vivo or in vivo therapeutic uses or any type of consumption or application to humans or animals. |
安全信息
| Storage Class Code【储存分类代码】 | 12 - Non Combustible Liquids |
| WGK | WGK 1 |




