您的位置:首页 > 产品中心 > Anti-Sodium-Iodide Symporter Antibody, C-terminal 2
产品中心
Anti-Sodium-Iodide Symporter Antibody, C-terminal 2

产品别名
Anti-Sodium-Iodide Symporter Antibody, C-terminal 2
Sodium/iodide cotransporter, Na(+)/I(-) cotransporter, Na(+)/I(-) symporter
基本信息
| eCl@ss | 32160702 |
| General description【一般描述】 | Sodium/iodide cotransporter (UniProt: Q92911; also known as Na(+)/I(-) cotransporter, Sodium-iodide symporter, Na(+)/I(-) symporter) is encoded by the SLC5A5 (also known as NIS) gene (Gene ID: 6528) in human. Sodium/iodide cotransporter is a multi-pass membrane protein that mediates iodide uptake in thyroid gland. It is expressed primarily in thyroid tissue, but is present in lower levels in mammary gland and ovary. It expression is significantly reduced in tumors. The presence of symporter in mammary glands leads to secretion of iodine in milk that is required for thyroid function in neonatal animals. NIS gene and protein expression is stimulated by thyroid-stimulating hormone. Both human and rat NIS contain N-glycosylation sites, however, glycosylation is not required for its full activity. Abnormalities in the expression of NIS gene lead to thyroid disease and can result in congenital hypothyroidism. Autoantibodies to NIS adversely affect iodide transport. |
| Specificity【特异性】 | This rabbit polyclonal antibody detects Sodium-iodide symporter in human. It targets an epitope within 13 amino acids from the C-terminal end. For Western blotting application, please do not boil the sample to avoid any aggregation. When transfering protein to nitrocellulose membrane use of 0.05% (w/v) lithium dodecyl sufate is highly recommended in the transfer buffer. |
| Immunogen【免疫原】 | KLH-conjugated linear peptide corresponding to 13 amino acids from the C-terminal region of human Sodium-iodide symporter. Epitope: C-terminus |
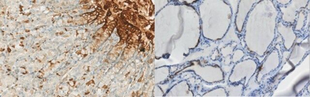
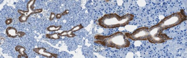
| Application【应用】 | Immunohistochemistry Analysis: A 1:50-250 dilution from a representative lot detected Sodium-Iodide Symporter in human thyroid and human salivary gland tissue sections. Immunocytochemistry Analysis: A representative lot detected Sodium-Iodide Symporter in COS-7 cells transfected with wild-type human NIS and in COS-7 cells transfected with mutant Q267E human NIS (De la Vieja, A., et. al. (2005). Mol Endocrinol. 19(11):2847-58; De la Vieja, A., et. al. (2004). J Cell Sci. 117(Pt 5):677-87). Immunohistochemistry Analysis: A representative lot detected Sodium-Iodide Symporter in Immunohistochemistry application (De la Vieja, A., et. al. (2004). J Cell Sci. 117(Pt 5):677-87; Wapnir, I.L., et. al. (2004). Clin Cancer Res. 10(13):4294-302; Wapnir, I.L., et. al. (2003). J Clin Endocrinol Metab. 88(4):1880-8). Immunoprecipitation Analysis: A representative lot detected Sodium-Iodide Symporter in Biotinylated NIS constructs expressed in COS-7 cells (De la Vieja, A., et. al. (2004). J Cell Sci. 117(Pt 5):677-87). Flow Cytometry Analysis: A representative lot detected Sodium-Iodide Symporter in COS-7 cells transfected with WT and mutant Q267E NIS (De la Vieja, A., et. al. (2004). J Cell Sci. 117(Pt 5):677-87). Western Blotting Analysis: A 1:10,000 dilution from a representative lot detected Sodium-Iodide Symporter in COS-7 cells transfected with hNIS (Courtesy of Dr Nancy Carrasco & Dr. Andrea Reyna-Neyra at Yale University). Western Blotting Analysis: A representative lot detected Sodium-Iodide Symporter in COS-7 cells transfected with NIS and COS-7 cells transfected with WT and mutant Q267E NIS (De la Vieja, A., et. al. (2005). Mol Endocrinol. 19(11):2847-58; De la Vieja, A., et. al. (2004). J Cell Sci. 117(Pt 5):677-87). Immunohistochemistry Analysis: A representative lot detected Sodium-Iodide Symporter in IHC-P human salivary gland and breast tissues (Tazebay, U.H., et. al. (2000). Nat Med. 6(8):871-8). Anti-Sodium-Iodide Symporter, C-terminal 2, Cat. No. ABC1454, is a rabbit polyclonal antibody that detects Sodium/iodide cotransporter and has been tested for use in Flow Cytometry, Immunohistochemistry (Paraffin), Immunoprecipitation, and Western Blotting. Research Category Apoptosis & Cancer |
| Quality【质量】 | Evaluated by Immunohistochemistry in human stomach tissue sections. Immunohistochemistry Analysis: A 1:50 dilution of this antibody detected Sodium-Iodide Symporter in human stomach tissue sections. |
| Physical form【外形】 | Purified rabbit polyclonal antibody in buffer containing 76 mM Tris, 192 mM glycine, pH 7.4 with 0.05% sodium azide. Format: Purified Affinity Purified |
| Other Notes【其他说明】 | Concentration: Please refer to lot specific datasheet. |
产品性质
| biological source【生物来源】 | rabbit |
| Quality Level【质量水平】 | 100 |
| antibody form【抗体形式】 | affinity isolated antibody |
| antibody product type | primary antibodies |
| clone【克隆】 | polyclonal |
| species reactivity | human |
| technique(s) | flow cytometry: suitable immunohistochemistry: suitable (paraffin) immunoprecipitation (IP): suitable western blot: suitable |
| isotype【同位素/亚型】 | IgG |
| NCBI accession no.【NCBI登记号】 | NP_000444 |
| UniProt accession no.【UniProt登记号】 | Q92911 |
产品说明
| Target description【目标描述】 | 68.66 kDa calculated. |
| Storage and Stability【储存及稳定性】 | Stable for 1 year at 2-8°C from date of receipt. |
| Disclaimer【免责声明】 | Unless otherwise stated in our catalog or other company documentation accompanying the product(s), our products are intended for research use only and are not to be used for any other purpose, which includes but is not limited to, unauthorized commercial uses, in vitro diagnostic uses, ex vivo or in vivo therapeutic uses or any type of consumption or application to humans or animals. |
安全信息
| Storage Class Code【储存分类代码】 | 12 - Non Combustible Liquids |
| WGK | WGK 1 |






