您的位置:首页 > 产品中心 > Anti-FGF18 antibody produced in rabbit
产品中心
Anti-FGF18 antibody produced in rabbit

产品别名
Anti-FGF18 antibody produced in rabbit
FGF-18
Fibroblast growth factor 18
ZFGF5
基本信息
| NACRES | NA.41 |
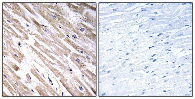
| General description【一般描述】 | Anti-FGF18 Antibody detects endogenous levels of total FGF18 protein. FGF18 (fibroblast growth factor 18) is a member of the paracrine-acting FGF8 subfamily. It is expressed in the perichondrium and joints of developing long bones. FGF18 is a 21.2 kDa glycosylated secretory protein, that is structurally similar to FGF8 and FGF17. It is mapped to human chromosome 5q35.1. Anti-FGF18 Antibody detects endogenous levels of total FGF18 protein. |
| Immunogen【免疫原】 | The antiserum was produced against synthesized peptide derived from human FGF18. Immunogen Range: 151-200 |
| Biochem/physiol Actions【生化/生理作用】 | FGF18 (fibroblast growth factor 18) plays an important role in the skeletal development of the embryonic and adult organism. It is associated with colorectal and ovarian cancer. FGF18 participates in cell proliferation and differentiation during osteogenesis and chondrogenesis. It is essential for the growth of bone, cartilage, hair, cardiovasculature and alveolus. |
| Features and Benefits【特点和优势】 | Evaluate our antibodies with complete peace of mind. If the antibody does not perform in your application, we will issue a full credit or replacement antibody. Learn more. |
| Physical form【外形】 | Rabbit IgG in phosphate buffered saline (without Mg2+ and Ca2+), pH 7.4, 150mM NaCl, 0.02% sodium azide and 50% glycerol. |
产品性质
| biological source【生物来源】 | rabbit |
| Quality Level【质量水平】 | 100 |
| conjugate【偶联物】 | unconjugated |
| antibody form【抗体形式】 | affinity isolated antibody |
| antibody product type | primary antibodies |
| clone【克隆】 | polyclonal |
| form【形式】 | buffered aqueous solution |
| mol wt【分子量】 | antigen 23 kDa |
| species reactivity | human |
| concentration【浓度】 | ~1 mg/mL |
| technique(s) | ELISA: 1:40000 immunofluorescence: 1:100-1:500 immunohistochemistry: 1:50-1:100 |
| NCBI accession no.【NCBI登记号】 | O76093 |
| UniProt accession no.【UniProt登记号】 | O76093 |
| shipped in【运输】 | wet ice |
| storage temp.【储存温度】 | −20℃ |
| Gene Information | human ... FGF18(8817) |
安全信息
| Storage Class Code【储存分类代码】 | 12 - Non Combustible Liquids |
| WGK | nwg |





