您的位置:首页 > 产品中心 > Anti-ESR1 (Ab-104) antibody produced in rabbit
产品中心
Anti-ESR1 (Ab-104) antibody produced in rabbit

产品别名
Anti-ESR1 (Ab-104) antibody produced in rabbit
Anti-DKFZp686N23123 antibody produced in rabbit
Anti-ER antibody produced in rabbit
Anti-estrogen receptor 1 antibody produced in rabbit
Anti-ESRA antibody produced in rabbit
Anti-ESR antibody produced in rabbit
基本信息
| NACRES | NA.41 |
| Immunogen【免疫原】 | Peptide sequence around aa. 102-106 (S-V-S-P-S), according to the protein ESR1. |
| Features and Benefits【特点和优势】 | Evaluate our antibodies with complete peace of mind. If the antibody does not perform in your application, we will issue a full credit or replacement antibody. Learn more. |
| Physical form【外形】 | Solution in phosphate-buffered saline containing 0.02% sodium azide and 50% glycerol |
产品性质
| biological source【生物来源】 | rabbit |
| conjugate【偶联物】 | unconjugated |
| antibody form【抗体形式】 | affinity isolated antibody |
| antibody product type | primary antibodies |
| clone【克隆】 | polyclonal |
| form【形式】 | buffered aqueous solution |
| mol wt【分子量】 | ~66 kDa |
| species reactivity | human |
| concentration【浓度】 | 1 mg/mL |
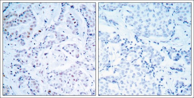
| technique(s) | immunohistochemistry (formalin-fixed, paraffin-embedded sections): 1:50-1:100 western blot: 1:500-1:1000 |
| isotype【同位素/亚型】 | IgG |
| immunogen sequence【免疫原序列】 | (S-V-S-P-S) |
| NCBI accession no.【NCBI登记号】 | NP_000116.2 |
| UniProt accession no.【UniProt登记号】 | P03372 |
| shipped in【运输】 | wet ice |
| storage temp.【储存温度】 | −20℃ |
| Gene Information | human ... ESR1(2099) |
产品说明
| Target description【目标描述】 | Nuclear hormone receptor. The steroid hormones and their receptors are involved in the regulation of eukaryotic gene expression and affect cellular proliferation and differentiation in target tissues. |
| Disclaimer【免责声明】 | Unless otherwise stated in our catalog or other company documentation accompanying the product(s), our products are intended for research use only and are not to be used for any other purpose, which includes but is not limited to, unauthorized commercial uses, in vitro diagnostic uses, ex vivo or in vivo therapeutic uses or any type of consumption or application to humans or animals. |
安全信息
| Storage Class Code【储存分类代码】 | 12 - Non Combustible Liquids |
| WGK | WGK 1 |





