您的位置:首页 > 产品中心 > Anti-ENO3 (AB1) antibody produced in rabbit
产品中心
Anti-ENO3 (AB1) antibody produced in rabbit

产品别名
Anti-ENO3 (AB1) antibody produced in rabbit
Anti-Enolase 3 (β, muscle)
Anti-MSE
基本信息
| NACRES | NA.41 |
| General description【一般描述】 | Enolase 3 (ENO3) is a skeletal muscle isoenzyme that is involved in muscle development. ENO3 transcription is regulated by muscle-specific enhancer proteins. Mutations in ENO3 have been linked to glycogen storage diseases. Rabbit Anti-ENO3 antibody recognizes bovine, canine, rabbit, human, mouse, and rat ENO3. |
| Immunogen【免疫原】 | Synthetic peptide directed towards the N terminal region of human ENO3 |
| Application【应用】 | Rabbit Anti-ENO3 antibody is suitable for western blot applications at a concentration of 0.25μg/ml. |
| Biochem/physiol Actions【生化/生理作用】 | ENO3 is one of the three enolase isoenzymes found in mammals. This isoenzyme, a homodimer, is found in skeletal muscle cells in the adult. A switch from alpha enolase to beta enolase occurs in muscle tissue during development in rodents. Mutations in ENO3 gene can be associated with metabolic myopathies that may result from decreased stability of the enzyme.This gene encodes one of the three enolase isoenzymes found in mammals. This isoenzyme, a homodimer, is found in skeletal muscle cells in the adult. A switch from alpha enolase to beta enolase occurs in muscle tissue during development in rodents. Mutations in this gene can be associated with metabolic myopathies that may result from decreased stability of the enzyme. Two transcripts have been identified for this gene that differ only in their 5′ UTR. |
| Sequence【序列】 | Synthetic peptide located within the following region: EVDLHTAKGRFRAAVPSGASTGIYEALELRDGDKGRYLGKGVLKAVENIN |
| Physical form【外形】 | Purified antibody supplied in 1x PBS buffer with 0.09% (w/v) sodium azide and 2% sucrose. |
产品性质
| biological source【生物来源】 | rabbit |
| Quality Level【质量水平】 | 100 |
| conjugate【偶联物】 | unconjugated |
| antibody form【抗体形式】 | affinity isolated antibody |
| antibody product type | primary antibodies |
| clone【克隆】 | polyclonal |
| form【形式】 | buffered aqueous solution |
| mol wt【分子量】 | 47 kDa |
| species reactivity | human |
| concentration【浓度】 | 0.5 mg - 1 mg/mL |
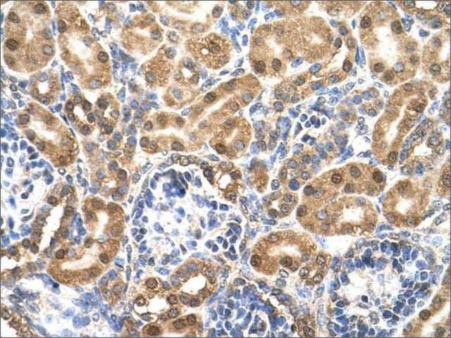
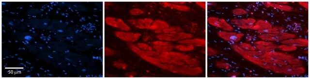
| technique(s) | immunohistochemistry: suitable western blot: suitable |
| NCBI accession no.【NCBI登记号】 | NP_001967 |
| UniProt accession no.【UniProt登记号】 | P13929 |
| shipped in【运输】 | wet ice |
| storage temp.【储存温度】 | −20℃ |
| Gene Information | human ... ENO3(2027) |
产品说明
| Disclaimer【免责声明】 | Unless otherwise stated in our catalog or other company documentation accompanying the product(s), our products are intended for research use only and are not to be used for any other purpose, which includes but is not limited to, unauthorized commercial uses, in vitro diagnostic uses, ex vivo or in vivo therapeutic uses or any type of consumption or application to humans or animals. |
安全信息
| Storage Class Code【储存分类代码】 | 12 - Non Combustible Liquids |
| WGK | WGK 3 |







