您的位置:首页 > 产品中心 > Anti-AQP8 antibody produced in rabbit
产品中心
Anti-AQP8 antibody produced in rabbit

| 产品编号: | 3345574 |
| 规格: | Prestige Antibodies® Powered by Atlas Antibodies, affinity isolated antibody, buffered aqueous glycerol solution |
| 包装规格: | 100 μL |
| 产品类别: | 进口试剂 |
| 品牌: | Sigma-Aldrich |
| 优惠价: | 立即咨询 |
产品别名
Anti-AQP8 antibody produced in rabbit
Anti-aquaporin 8
基本信息
| Human Protein Atlas Number【人类蛋白质图谱编号】 | HPA046259 Human Protein Atlas characterization data |
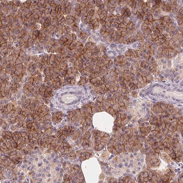
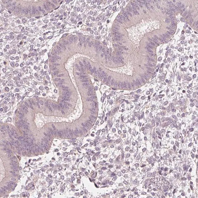
| General description【一般描述】 | Aquaporin 8 (AQP8) belongs to the water channel proteins, aquaporins (AQPs). The protein is expressed in human pancreas and colon. It encodes a 261 amino acid protein. The gene is located on human chromosome 16p12.1. |
| Immunogen【免疫原】 | aquaporin 8 recombinant protein epitope signature tag (PrEST) |
| Application【应用】 | All Prestige Antibodies Powered by Atlas Antibodies are developed and validated by the Human Protein Atlas (HPA) project (www.proteinatlas.org)and as a result, are supported by the most extensive characterization in the industry. The Human Protein Atlas project can be subdivided into three efforts: Human Tissue Atlas, Cancer Atlas, and Human Cell Atlas. The antibodies that have been generated in support of the Tissue and Cancer Atlas projects have been tested by immunohistochemistry against hundreds of normal and disease tissues and through the recent efforts of the Human Cell Atlas project, many have been characterized by immunofluorescence to map the human proteome not only at the tissue level but now at the subcellular level. These images and the collection of this vast data set can be viewed on the Human Protein Atlas (HPA) site by clicking on the Image Gallery link. To view these protocols and other useful information about Prestige Antibodies and the HPA, visit sigma.com/prestige. |
| Biochem/physiol Actions【生化/生理作用】 | Aquaporin 8 (AQP8) regulates water metabolism. It contributes to pathogenesis of inflammatory disease. The protein facilitates the bidirectional transport of water and hydrogen peroxide across biological membranes. Hepatocyte mitochondrial aquaporin-8 (mtAQP8) functions as a multifunctional membrane channel protein, which enables the uptake of ammonia for its detoxification to urea and the mitochondrial release of hydrogen peroxide. Knockdown of mitochondrial AQP8 is linked to necrotic cell death in human neoplastic hepatic cells. |
| Features and Benefits【特点和优势】 | Prestige Antibodies® are highly characterized and extensively validated antibodies with the added benefit of all available characterization data for each target being accessible via the Human Protein Atlas portal linked just below the product name at the top of this page. The uniqueness and low cross-reactivity of the Prestige Antibodies® to other proteins are due to a thorough selection of antigen regions, affinity purification, and stringent selection. Prestige antigen controls are available for every corresponding Prestige Antibody and can be found in the linkage section. Every Prestige Antibody is tested in the following ways:
|
| Linkage【联系】 | Corresponding Antigen APREST81836. |
| Physical form【外形】 | Solution in phosphate buffered saline, pH 7.2, containing 40% glycerol and 0.02% sodium azide. |
| Legal Information【法律信息】 | Prestige Antibodies is a registered trademark of sigma-aldrich Co. LLC |
产品性质
| biological source【生物来源】 | rabbit |
| conjugate【偶联物】 | unconjugated |
| antibody form【抗体形式】 | affinity isolated antibody |
| antibody product type | primary antibodies |
| clone【克隆】 | polyclonal |
| product line【产品线】 | Prestige Antibodies® Powered by Atlas Antibodies |
| form【形式】 | buffered aqueous glycerol solution |
| species reactivity | human |
| packaging【包装】 | antibody small pack of 25 μL |
| enhanced validation【增强验证】 | orthogonal RNAseq Learn more about Antibody Enhanced Validation |
| technique(s) | immunohistochemistry: 1:500- 1:1000 |
| immunogen sequence【免疫原序列】 | EIAMCEPEFGNDKAREPSVGGRWRVSWYERF |
| UniProt accession no.【UniProt登记号】 | O94778 |
| shipped in【运输】 | wet ice |
| storage temp.【储存温度】 | −20℃ |
| Gene Information | human ... AQP8(343) |
产品说明
| Disclaimer【免责声明】 | Unless otherwise stated in our catalog or other company documentation accompanying the product(s), our products are intended for research use only and are not to be used for any other purpose, which includes but is not limited to, unauthorized commercial uses, in vitro diagnostic uses, ex vivo or in vivo therapeutic uses or any type of consumption or application to humans or animals. |
安全信息
| Storage Class Code【储存分类代码】 | 10;12 - Combustible liquids;Non Combustible Liquids |
| WGK | WGK 1 |






